Gai sinh dục ở nữ là một bệnh lý lành tính, hình thành do sự phát triển quá mức của tế bào vùng thượng bì của vùng da ở vùng kín nữ. Những biểu hiện của gai sinh dục rất giống với bệnh sùi mào gà hay u nhú sinh dục nên dễ bị nhầm lẫn. Vậy bệnh gai sinh dục ở nữ giới là gì? Gai sinh dục nữ xuất hiện khi nào? Cách điều trị gai sinh dục nữ tại nhà là gì? Tất cả sẽ được BS. Nguyễn Hùng Thăng giải đáp trong bài viết này. Mời bạn theo dõi!
Gai sinh dục là gì?
Gai sinh dục là bệnh lý hình thành khi cơ thể bị nhiễm virus HPV khiến cho các mô xơ phát triển quá mức tạo thành các nốt gai ở quanh bìu, hậu môn và cơ quan sinh dục nam nữ. Hầu hết, các trường hợp xuất hiện gai sinh dục đều lành tính. Ở mức độ bệnh nhẹ, gai sinh dục rất khó có thể nhìn thấy bằng mắt thường. Thông thường, gai sinh dục sẽ xuất hiện triệu chứng trong khoảng 3 tháng sau khi có biểu hiện bị nhiễm trùng. Tuy nhiên, cũng có những trường hợp cơ thể không xuất hiện biểu hiện gì trong nhiều năm.
Bệnh lý này sẽ gây ra những tác động xấu về mặt tâm lý và hoạt động tình dục. Nhưng nó sẽ không xảy ra bất kỳ nguy hiểm nào đến tính mạng của người bệnh.
Gai sinh dục nữ giới cũng tương tự như tình trạng hạt ngọc dương vật ở nam giới. Đều là những tình trạng bệnh lành tính, tuy nhiên lại có các biểu hiện dễ bị nhầm với bệnh xã hội nguy hiểm như sùi mào gà, mụn rộp sinh dục.

Gai sinh dục nữ xuất hiện khi nào?
Gai sinh dục nữ xuất hiện khi nào? Gai sinh dục là căn bệnh sẽ xuất hiện khi cơ thể bị nhiễm virus HPV. Gai sinh dục ở phụ nữ sẽ làm các mô xơ phát triển quá mức tạo thành các nốt gai ở quanh môi bé, môi lớn, âm hộ, cổ tử cung, âm đạo, hậu môn của phụ nữ.
Gai sinh ở nữ giới có nguy hiểm không? Hầu hết các trường hợp mụn gai sinh dục nữ đều lành tính. Ở mức độ nhẹ, mụn gai sinh dục nữ rất khó nhận biết bằng mắt thường. Thông thường, gai sinh dục thường sẽ xuất hiện triệu chứng nhận biết trong khoảng 3 tháng trước khi bị tình trạng nhiễm trùng nặng hơn. Tuy nhiên, cũng có vài trường hợp cơ thể không có biểu hiện gì trong nhiều năm.
Gai sinh dục ở nữ sẽ tác động xấu đến tâm lý và đời sống tình dục của người bệnh. Tuy nhiên, mụn gai sinh dục nữ không gây ảnh hưởng đến tính mạng và không gây ra nhiều phiền toái như bệnh sùi mào gà.

Dấu hiệu nhận biết gai sinh dục
Gai sinh dục nữ xuất hiện khi nào? Có thể nhận biết như thế nào? Bạn có thể nhận biết gai sinh dục qua những dấu hiệu cụ thể sau đây:
- Hãy quan sát vùng kín của mình và nếu bạn thấy những nốt nhỏ màu trắng hoặc hồng ở môi bé, môi lớn hoặc âm đạo xuất hiện rất nhiều thì bạn đang có khả năng cao mắc bệnh mụn gai sinh dục nữ .
- Các mụn gai sinh dục nữ sẽ phát triển dài và dày và lan rộng hơn.
- Các vết mụn gai sinh dục ở nữ sẽ làm phụ nữ có cảm giác sần sùi ở bộ phận sinh dục nhưng nó không gây ngứa, đau hay chảy máu.
- Gai sinh dục ở nữ giới sẽ lây lan và phát triển mạnh hơn ở nam giới vì đặc tính môi trường âm đạo thường xuyên ẩm ướt mà gai sinh dục lại sinh trưởng tốt ở môi trường ẩm ướt.
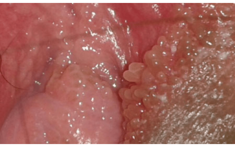
Hình ảnh mụn gai sinh dục nữ
Trong nhiều trường hợp và đối với từng cơ địa khác nhau, hình ảnh mụn gai sinh dục cũng sẽ khác nhau. Nếu bạn xác định mình đã mắc bệnh gai sinh dục, hãy thông báo cho bạn tình hoặc người vợ/chồng của mình để họ có những kế hoạch chủ động bảo vệ bản thân.

Gai sinh dục nữ xuất hiện khi nào? Cách điều trị bệnh ra sao?
Hiện tại, có 2 phương pháp đang được áp dụng để điều trị mụn gai sinh dục nữ là: phương pháp nội khoa và phương pháp ngoại khoa.
- Phương pháp nội khoa: Đây là phương pháp được bác sĩ áp dụng cho các trường hợp mắc bệnh gai sinh dục ở phụ nữ ở giai đoạn nhẹ. Dựa theo tình trạng bệnh của nữ giới, bác sĩ sẽ kê đơn thuốc cho bạn. Trong đơn thuốc này sẽ bao gồm các loại thuốc giúp làm sạch và cân bằng độ PH âm đạo. Ngoài ra, bác sĩ cũng có thể kê thêm một loại thuốc chấm để kích thích các nhú gai nhanh rụng. Lưu ý, bạn không nên tự ý mua thuốc về dùng mà không có chỉ định của bác sĩ vì có thể sẽ làm các nhú gai phát triển nhiều hơn và nhiễm trùng.
- Phương pháp ngoại khoa: Đây là phương pháp áp dụng liệu pháp quang động học ALA – PDT để điều trị gai sinh dục nữ. Vì thế, phương pháp ngoại khoa thường được áp dụng cho các trường hợp mụn gai sinh dục nữ đã tiến triển nặng. Nhờ tác động của ánh sáng của liệu pháp này mà gai sinh dục ở nữ và vi khuẩn đều sẽ bị tiêu diệt và loại bỏ. Quá trình điều trị gai sinh dục ở phụ nữ bằng phương pháp ngoại khoa sẽ diễn ra rất nhanh chóng và không gây đau đớn ở người bệnh. Sau điều trị, cơ thể người bệnh sẽ nhanh chóng trở lại với sinh hoạt thường ngày mà không gây ảnh hưởng gì.
Cách phòng ngừa bệnh gai sinh dục
Đến đây, bạn đã biết được gai sinh dục nữ xuất hiện khi nào? Sau đây là cách chữa gai sinh dục nữ tại nhà và cách phòng ngừa bệnh gai sinh dục an toàn, hiệu quả.

- Cách phòng ngừa bệnh gai sinh dục ở nữ giới hiệu quả nhất hiện nay đó chính là là chích ngừa vaccine HPV. Vaccine HPV giúp cơ thể phụ nữ tránh khỏi nguy cơ mắc các bệnh như: sùi mào gà, u xơ tử cung, u nang buồng trứng, ung thư âm hộ, âm đạo, dương vật, hậu môn và ung thư vùng miệng. Bác sĩ khuyến cáo nữ giới trong độ tuổi 9-26 tuổi nên tiêm loại vắc xin này để đảm bảo cơ thể nữ giới được bảo vệ trước khi phơi nhiễm loại virus này.
- Phụ nữ nên chủ động sử dụng bao cao su khi quan hệ để bảo vệ cơ thể mình trước các nguy cơ mắc bệnh truyền nhiễm.
- Bổ sung thực phẩm tốt cho sức khỏe nữ giới như: đậu nành, trứng gà, hải sản, các loại trái cây,…
- Xây dựng chế độ sinh hoạt tình dục lành mạnh.
- Vệ sinh vùng kín thường xuyên bằng dung dịch vệ sinh vùng kín chuyên biệt, có độ pH phù hợp, thành phần thiên nhiên. Tránh sử dụng các loại sữa tắm, dung dịch vệ sinh vùng kín có quá nhiều hóa chất để hạn chế tình trạng bị kích ứng.
Hy vọng qua bài viết này, thanghoacuocsong đã giải đáp được thắc mắc của bạn về gai sinh dục nữ xuất hiện khi nào. Dựa vào những thông tin trong bài viết này, chúng tôi mong rằng chị em sẽ có kế hoạch bảo vệ sức khỏe, đẩy lùi nguy cơ mắc những bệnh lý phụ khoa nguy hiểm.
- Bộ phận sinh dục nam thế nào là đẹp? Cách chăm sóc cậu nhỏ - Tháng chín 10, 2023
- Thuốc kích dục Extra Tevez: Giải pháp tăng hưng phấn tình dục - Tháng tám 31, 2023
- Top 10 thuốc tăng kích thước cậu nhỏ vĩnh viễn làm to dương vật +7CM - Tháng ba 9, 2023

